Traumatologia

Le Patologie

I DISTACCHI EPIFISARI DELLA TIBIA

I distacchi epifisari costituiscono all’incirca il 30% delle fratture delle ossa lunghe nei soggetti in età pediatrica. Le sedi maggiormente interessate sono il polso, il gomito e la caviglia (interessando l’epifisi distale di tibia nell’11% dei casi). Al fine di scongiurare deformità secondarie, obiettivi fondamentali nel trattamento di tali lesioni sono di conseguire una riduzione soddisfacente e quanto più precoce possibile per evitare la compromissione strutturale e vascolare della cartilagine di coniugazione. Per questo motivo nelle fratture maggiormente scomposte e instabili è d’obbligo il ricorso a un’osteosintesi chirurgica. I distacchi epifisari di caviglia sono dunque un’evenienza frequente nei soggetti in età pediatrica. In particolare l’età media dei pazienti è tra 12 e i14 anni in quanto tali lesioni sono tipiche delle fisi (= la parte dell’ osso dei bambini che determina la crescita dell’ osso stesso) in corso di ossificazione. Per tali fratture è d’obbligo una riduzione quanto più anatomica, stabile e precoce possibile al fine di scongiurare deformità secondarie. Per tale motivo, soprattutto per quel che riguarda le fratture più complesse e articolari, è richiesta oltre all’esame radiografico standard in 2 proiezioni l’esecuzione di un esame TC (tomografia computerizzata) che consenta una corretta valutazione dei frammenti e una pianificazione adeguata dell’intervento. E’ quindi necessario sintetizzare i distacchi gravemente scomposti e instabili con mezzi di sintesi, quali fili di Kirschner o viti, che garantiscano una buona stabilità della frattura. E’ bene infine che la riduzione e stabilizzazione di tali fratture avvenga in tempi brevi, considerando le 24 ore dopo il trauma quale intervallo ideale nel quale intervenire. Rispettando tutti questi parametri è possibile realizzare un trattamento che restituisca una buona motilità dell’articolazione tibio-tarsica, allontanando l’eventualità di una precoce artrosi post-traumatica a carico di tale articolazione, e di ridurre al minimo il rischio di deformità secondarie.

Fig 1 Rx in Ap distacco epifisario di tibia tipo II di Salter e Harris e frattura di perone
 
 
 
 
 
 
Fig. 2 Esame TAC Pre Operatorio
 
 
 
 
 
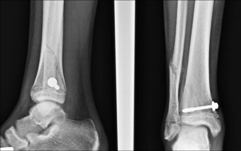
Fig. 3 Rx AP e LL 1 mese dopo l'intervento. Riduzione della frattura ottenuta mediante 1 vite cannulata con rondella.

RICERCA

Le Patologie

News

Dove Visito

MILANO

Presso Ospedale dei Bambini "Buzzi" via Ludovico Castelvetro 32 - 20154 Milano - tel Numero Verde 800.890.890          (Giovedì pomeriggio)

Presso Clinica Columbus via Buonarroti 48- 20145 Milano - tel 02.480.801 (Martedì pomeriggio)

TORINO

Presso C.P.G. in via de Sonnaz 5/a - 10121 Torino | Tel. 011 5611187  (Venerdì pomeriggio)

BIELLA

Presso C.D.C. in via Bertodano 11 - 13900 Biella | Tel. 015 20385

SCRIVIMI

Autorizzo il trattamento dei dati personali

Leggi l'informativa - (Art. 13 D.Lgs. 30 giugno 2003, n. 196 "Codice in materia di protezione dei dati personali") - Letta l'informativa, esprimo il consenso al trattamento dei miei dati.