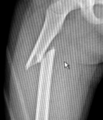
Bambina di 5 anni con frattura di femore obliqua al 1/3 prossimale
Fig 1 la frattura
Fig. 2 rx post operatorio

Fig. 3 frattura ben consolidata dopo 3 mesi dall’ intervento

34th Annual Meeting 15th – 18th April 2015
Riunione superspecialistica della Società Italiana...
ll prossimo congresso Nazionale della nostra...
MILANO
Presso Ospedale dei Bambini "Buzzi" via Ludovico Castelvetro 32 - 20154 Milano - tel Numero Verde 800.890.890 (Giovedì pomeriggio)
Presso Clinica Columbus via Buonarroti 48- 20145 Milano - tel 02.480.801 (Martedì pomeriggio)
TORINO
Presso C.P.G. in via de Sonnaz 5/a - 10121 Torino | Tel. 011 5611187 (Venerdì pomeriggio)
BIELLA
Presso C.D.C. in via Bertodano 11 - 13900 Biella | Tel. 015 20385